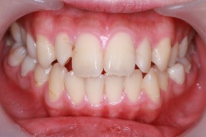
オープンバイトです。
一見そんなに悪く無いようですが、口(歯)を閉じていても舌が見えています。
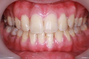
全顎矯正を行いました。
当医院では、プチ矯正、小児矯正、成人矯正、舌側矯正等すべての矯正治療を行っております。
【プチ矯正】
前歯が一本だけ傾いていたり、歯と歯の間に隙間が空いていたり、歯列が少しだけ歪んでいたりする場合に、1本から数本の歯並びを整えます。
【小児矯正】
現代の子供たちは顎が小さくなっている傾向があります。歯の並ぶスペースが少なく、歯列(顎)の中に歯がきれいに並びきらなくなっています。
子供の歯並びの矯正は早く始めることによって、歯を抜かずに(非抜歯)治療することもできます。お子様の健康な歯を少しでも抜かずに治療するために、早期治療をお勧めします。
【成人矯正】
近年若い女性を中心に、ご高齢の方まで成人矯正が増加しています。整った歯並びは、笑顔をぐっと魅力的に見せてくれるだけでなく、虫歯や歯周病、口臭の予防等にも効果的です。
【舌側矯正】
矯正はしたいけれど、人に装置を付けているところを見せたくない。そんな悩みを解消できるのが、舌側矯正です。
従来は歯の表側に付けていた固定装置を、裏側に装着します。
人に気づかれることなく、いつの間にかきれいで魅力的な口元が得られます。
患者様の様々なご要望をお聞きし、あらゆる矯正治療の中からベストな治療方法を提案いたします。
完全個室にて治療を行い、十分な時間をお取りして診療しております。
お気軽にカウンセリングをお受けください。
保険診療も行っております(一般歯科、小児歯科)ので、お気軽にご予約下さい。
京都市西京区 桂 矯正 審美 インプラント 桂駅西口 片山歯科クリニック
















