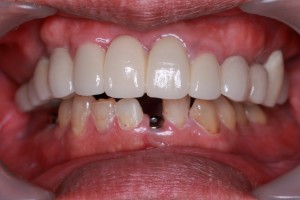
下顎前歯、抜歯即日インプラントです。
型を取ってジルコニアセラミック歯が入りました。
上顎は臼歯部インプラント、全てジルコニアセラミック歯が入っています。
矯正・審美・インプラント 専門化することによって、高いレベルの治療を行っております。
インプラント治療は、埋入部位の歯槽骨の状態によって様々な技術が必要になってきます。
従来の方法だけでなく、1日の治療で完了する即時荷重インプラント、入れ歯安定装置としてのミニインプラントシステム、歯茎を切らないフラップレスなど、最先端の治療が可能です。
他院で骨の状態が良くない、又は骨が少ないので出来ないと言われた方も一度当医院のカウンセリングをお受けください。きっと良い解決方法が見つかります。
患者様の様々なご要望をお聞きし、ベストな治療をご提案いたします。 完全個室にて治療を行い、十分な時間をお取りして診療いたします。
保険診療も行っております(一般歯科、小児歯科)ので、お気軽にご予約下さい。
京都市西京区 桂 矯正 審美 インプラント 桂駅西口 片山歯科クリニック
Tags: インプラント















